THERE ARE HUNDRED OF LANGUAGES IN THE WORLD BUT A SMILE
SPEAKS THEM ALL
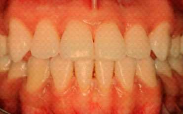
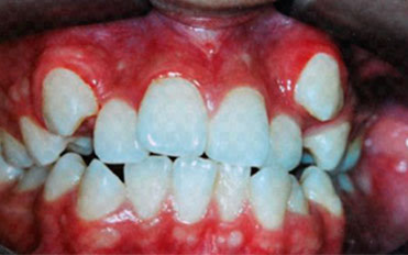
All the cases shown below were performed and completed at our clinic with the help of our labs. If you have any questions, contact us! Toll Free from USA or Canada at 1-866-218-0980 .
MENU
Need a price quote?
Contact Us!
Address: Plaza Hollywood Local 25 Coba Avenue Mz. 1 Lt. 1 Sm 35, Cancun, Quintana Roo, C.P. 77508
From Cancun:
(998) 887-85-61
(998) 884-86-81
Toll Free: USA & Canada
01800-839-2767
(998) 172-40-68
Cosmetic Dentistry
Orthodontics
Dentures
Dental Emergency
Other Dental Specialties
- Pediatric Dentistry
General Dentistry
Dental Tourism in Cancun
Dental Implants
All rights reserved Dental Evolution 2015 - Go Brand Studio