THERE ARE HUNDRED OF LANGUAGES IN THE WORLD BUT A SMILE

SPEAKS THEM ALL

Dental Bridges Photos

Real patient smile gallery

All the cases shown below were performed and completed at our clinic with the help of our labs. If you have any questions, contact us! Toll Free from USA or Canada at 1-866-218-0980 .

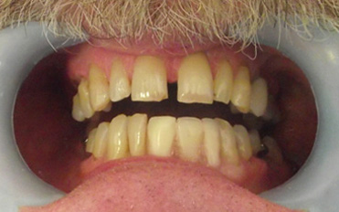
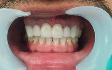
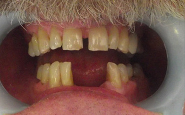
Case: Dental bridges

(slide to alternate before and after)

Back to Galleries

Need a price quote?

Contact Us!

Address: Plaza Hollywood Local 25 Coba Avenue Mz. 1 Lt. 1 Sm 35, Cancun, Quintana Roo, C.P. 77508

From Cancun:

(998) 887-85-61

(998) 884-86-81

Toll Free: USA & Canada

01800-839-2767

Whatsapp

(998) 172-40-68

All rights reserved Dental Evolution 2015 -  Go Brand Studio

Desktop Version