Walk-ins welcome! - English spoken

American Academy of Implant Dentristry

From Cancun:

WhatsApp:

Toll Free:

From Canada

(998) 887-85-61

(998) 884-86-81

(998) 172-40-68

Toll Free:

USA & Canada

1-844-214-2169

1 866-218-0980

84-447-8793

THERE ARE HUNDREDS OF LANGUAGES IN THE WORLD AND A SMILE

SPEAKS THEM ALL

Are you looking for a Professional Dentist in Cancun?

Request a Price Quote!

Field is required

Home / Before & After Gallery / Full Mouth Reconstruction

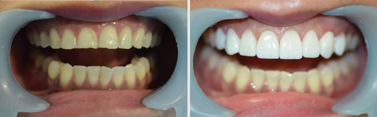
Full Mouth Reconstruction Photos

Dental Evolution offer cosmetic dental procedures at affordable prices. Contact us!

All the cases shown below were performed and completed at our clinic with the help of our labs in 8 days or less. If you have any questions, contact us! Toll Free from USA or Canada at 1-866-218-0980.

Back to Galleries

Dentistas en Cancún, Emergencia Dental

Need a quote? Contact Us!

A team of professional dentists in Cancun will contact you

From Cancun:

(998) 887-85-61

(998) 884-86-81

WhatsApp

(998) 172-40-68

Toll Free:

From Canada

1-844-214-2169

Toll Free:

USA & Canada

1-866-218-0980

84-447-8793

All rights reserved Dental Evolution 2015 -  Go Brand Studio

Desktop Version